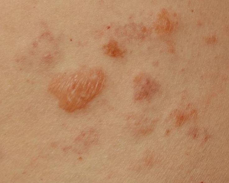
Papels op de buik

Gepubliceerd:

1608 deelnemers

een witte huid met rode blaasjes.

Een 55-jarige vrouw heeft sinds vijf jaar oranjerode papels op de buik. De huidafwijkingen geven geen klachten. In de loop van de tijd zijn papels spontaan ontstaan en weer verdwenen, waarna lichtrode maculae zijn achtergebleven.

Wat is de diagnose?

Antwoord